Why are regional banks' bad loans alarming Wall Street?
How will Trump's new truck tariffs impact automakers?
What caused the recent rebound in the S&P 500?
Why is Meta adding parental controls for AI chatbots?
How did Trump’s $20B lifeline affect Argentina’s economy?
What risks did Jamie Dimon warn about in credit markets?
Why is Tesla’s $1 trillion CEO pay package facing pushback?
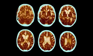
Novo Nordisk’s ‘lottery ticket’: can obesity drugs help treat Alzheimer’s?
ft.com/content/87a8d95b-4c86-42f7-831e-8da7b8c2c9f6
Results are due soon from two studies using semaglutide to treat thousands of people with the disease
This story appeared on ft.com, 2025-10-13 04:00:06.